두 개 천골 요법은 두개골과 척추 위 움직임과 관련된 조직의 변화를 조사하고 이를 치료하는 자연요법 중 하나입니다. 이러한 치료는 뇌척수액의 유동성을 개선하고 근육, 조직, 신경계등의 기능을 향상 시 크는 데 초점을 두고 있습니다.

두 개 천골 요법(CST) 원리
1.CST( Cranio Sacral Therapy)란?
1)두 개 천골용법은 CST ( Cranio Sacral Therapy)의 약자입니다. 우리말로 두 개 천골 용법이라고 합니다.
CST는 미국에서 서렌더 박사와 어플레저 박사가 발전시켰습니다. 미국에서는 130년 이상의 역사에서 많은 임상과 엄청난 치유력으로 이미 많은 대중들에게 알려져 있습니다.
2) 두개골과 천골사이의 뇌척수액의 흐름을 원활하게 하고 두개골의 봉합면 유착을 유연하게 하며 뇌 기능 장애와 교감신경과 부교감신경을 조절해 주는 고차원 자연치유요법입니다. 이 치유법으로 약손월드힐링센터에서 난치병환자의 치유를 하고 있으며 그 효과는 받으신분들은 기적이라고 믿고 있습니다.
2. 원리
1) 우리 몸에는 3가지 일정한 리듬 있습니다. 하나는 심장박동 둘째는 호흡이고요 셋째는 우리가 알아야 할
제3의 바이오리듬 두 개천골계의 리듬입니다. 이 리듬은 1분에 6-12번 정도의 리듬을 갖는다 뇌에서 생산된 뇌척수액이 두개골부터 천골까지 순환하면서 알츠하이머를 일으키는 베타아밀로이드와 같은 독성 단백질을 제거하고 뇌의 여러 가지 활동으로 생긴 대사 노폐물을 제거하는 역할을 합니다. 또 기분 좋게 하는 호르몬인 세라토닉이나 도파민 같은 신경 전달 물질을 생성배출은 물론이며 내분비 호르몬분비와 자율신경계의 안정화에도 큰 영향을 미칩니다.
2) 이런 분들에게 꼭 필요합니다.
○면역력이 떨어지시지고 기력이 없으신 분들
○암예방과 사후에 관리가 필요하신 분들
○자율신경계의 문제로 각종 병에 시달리신 분들
○각종 난치성 피부질환으로 힘들어하신 분들
○감정조절이나 정신신경계병으로 고생하신 분들
위의 분들 아니더라도 난치성병에서 고생하신 분들은 꼭 상담을 받아보시면 좋습니다.
어떤 병도 나을 수 있습니다. 굳은 마음으로 대처하세요 할 수 있습니다.
3. 치유되는 사례
○15년째 불면증에 시달리는 분 " 이제는 잘 수가 있어요"
- 저희 약손월드 힐링센터( 광주 양산동 지부)에 오신 분들 중에 15년째 불면증에 시달리는 분이 계셨습니다. 그분은 65세 여성이었습니다. 지인분의 소개로 오신 날 그분의 얼굴색이 누렇게 돼있었고 몸을 점검하니
중추신경들은 굳어있었고 당연히 후두골은 긴장상태로 있었으며 두개골은 딱딱하게 굳어있었습니다. 15년 동안 불면증에 시달리시니 성격은 날카로워졌습니다.
먼저 온몸이 긴장상태로 있으니 당연히 복부상태도 비만과 가스가 가득 차서 복압이 높아진 상태였습니다.
전체적으로 경락,경맥들을 풀어주고 복부는 풀 수 있는 상태가 아니었기에 CST를 바로 하였습니다. 처음에는 후두골이 아파서 근처 만가도 몸을 비틀고 아프다고 하셨는데요. 일주일이 지나고 CST 요법으로 치유해 가니 15년을 못 자던 잠을 푹 잤다고 너무 고맙다고 하셨습니다. 정말 기적 같은 일이 일어난 것입니다.
하지만 이런 기적 같은 일이 너무나 많은 분들에게 일어나고 있습니다. CST 두 개 천골요법은 정말로 훌륭하고 많은 사람들에게 희망을 주는 기적과 같은 요법입니다.
또 변비로 고생하시는 분들. 암말기환자분이 희망을 가질 수 있는 건강한 몸의 상태를 유지해 가는 모습들 등
정말 많은 분들이 치유해나가고 있습니다.
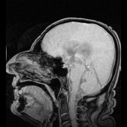
뇌 척수액의 역할
1. 뇌척수액의 구조
1) 중추신경계를 둘러싸고 있는 뇌척수막(연막. 지주막. 경막) 내부에서 만들어지는 액체입니다.

2. 역할
1) 뇌와 척수를 외부충격으로부터 보호하는 역활을 합니다. 뇌와 척수는 뇌척수액에 의해 둘러싸여 있으므로 날씨나 운동 중 머리 부딪쳤을 때 발생할 수 있는 충격으로부터 보호합니다. 영양분과 산소를 뇌와 척수에 공급하고 노폐물을 제거하는 역할도 합니다. 그래서 뇌척수액이 여러 가지 이유로 잘 돌지 못한다면 척수에 있는 우리 몸의 모든 신경계와 뇌의 활동에 영향을 주어서 여러 가지 병의 원인으로 발생합니다.
2) 뇌와 척수의 내부압력을 일정하게 유지하는 역할을 합니다. 이는 뇌와 척수의 기능을 올바르게 유지하는 데 중요합니다. 뇌 척수액이 변화하면 뇌와 척수의 혈액 공급이 감소하거나 중단될 수 있습니다. 그래서 뇌척수액은 뇌와 척수의 보호와 영양. 공급. 노폐물 제거, 내부 압력유지와 같은 중요한 역할을 담당하며 중추신경계의 건강을 유지하는데 매우 중요합니다.
3) CST치유로 인한 두개골의 이완
○척수액활동이 어떤 여러 가지 이유로 원활하지 못하거나 막혔다면 중추신경계의 이상으로 온다. 그럴 때 CST요법은 두개골의 이완을 도와준다.
두개골은 22개의 뼈로 되어있는데 그 뼈들 사이를 연결해 주는 봉합면이 있다. 그 봉합면들이 톱니바퀴모양으로 되어있으며 그 면들이 조금씩 움직이면서 호흡을 하고 척수액을 도는데 큰 역할을 한다. 그래서 CST로 두개골 봉합면을 잘 이완을 시켜주면 CST치유효과는 배가 되고 특히 척수액문제로 대표되는 알츠하이머. 뇌졸중. 인지장애. 집중력장애. 건망증. 발달장애. 성장애. ADHA대상포진등의 면역력과 관련되는 여러 문제들을 해결하는데 큰 도움이 된다.
※보통 수기요법하면 동양으로 경락을 바탕으로 하는 마사지와 비슷한 것으로 알고 있으나,
두 개 천골 요법은 두개골을 구조. 뇌기능. 신경계통, 면역학등에 이해가 있어야 할 수 있는 서양의학이라고 볼 수 있습니다.
♥1분 투자에 이득이 되는 글♥
"이 포스팅은 쿠팡 파트너스 활동의 일환으로, 이에 따른 일정액의 수수료를 제공받습니다."
'일상의학정보' 카테고리의 다른 글
| 자궁경부암(남녀) 증상, 원인 무료검사대상 예방 접종 (2) | 2023.08.15 |
|---|---|
| 질병의 원인 몸 . 마음 치유 (0) | 2023.04.12 |


댓글